- تاریخ ثبتنام
- 13/9/20
- ارسالیها
- 409
- پسندها
- 28,723
- امتیازها
- 50,373
- مدالها
- 18
- سن
- 21
- نویسنده موضوع
- #1

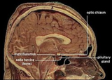
زیر نهنج یا هیپوتالاموس (به انگلیسی: Hypothalamus)، غده ای است در مغز، که دستگاه عصبی را با کمک غدهٔ هیپوفیز به دستگاه غدد درونریز متصل میکند.
هیپوتالاموس در اکثر پستانداران یافت میشود و خصوصیات متفاوتی در دو جنس مذکر و مؤنث دارد. هیپوتالاموس مانند بصل النخاع در تنظیم تنفس نقش دارد.
هیپوتالاموس از هسته های مختلفی تشکیل می شود.بخش قدامی یا سوپراکیاسماتیک،بخش میانی یا توبرال، بخش خلفی و بخش خارجی از قسمت های مختلف هیپوتالاموس هستند که هر بخش هسته هایی دارد.قسمت خارجی هسته های پره اپتیک خارجی و هیپوتالاموس خارجی را شامل می شود. هیپوتالاموس خارجی مرکز تنظیم و تحریک گرسنگی است و اختلال در عملکرد آن باعث بی اشتهایی و لاغری می شود.هسته های...
لطفا برای مشاهده کامل مطالب در انجمن ثبت نام کنید.